
E-Max kaplama, günümüzde estetik diş hekimliği alanında sıkça tercih edilen bir materyaldir ve diş restorasyonlarında mükemmel estetik sonuçlar elde etmek için kullanılır. E-Max, özellikle porselen seramik kaplamalar arasında üstün özelliklere sahip olan bir tür porselen malzemedir. E-Max kaplamalar, dişlerdeki estetik problemleri gidermek ve doğal diş yapısını en iyi şekilde taklit etmek amacıyla kullanılır. Bu kaplamalar, dişlerin rengi, parlaklığı ve opaklığı konusunda üstün kontrole sahip olduklarından, hastaların doğal bir gülüş elde etmelerine olanak tanır. E-Max kaplamalar genellikle dişlerdeki çatlaklar, lekeler, aşınmış yüzeyler, düzensiz boylar veya aralıklar gibi kozmetik sorunların düzeltilmesi amacıyla kullanılır. Ayrıca, dişlerin şeklinin veya pozisyonunun düzeltilmesi gerektiğinde de tercih edilirler. E-Max kaplamalar, diş hekimleri tarafından hastanın ağız yapısı ve estetik tercihleri göz önüne alınarak kişiselleştirilen restorasyonlar için ideal bir seçenek olarak kabul edilir. Bu materyal, dayanıklılığı, doğal görünümü ve uzun ömürlülüğü ile bilinir, bu da onu diş estetiği uygulamalarında önemli bir tercih haline getirir.
E-Max Kaplama Nedir?
E-Max kaplama, estetik diş hekimliği alanında kullanılan bir porselen seramik malzemedir ve diş restorasyonları için üstün estetik ve dayanıklılık özellikleri sunar. E-Max, özellikle dişlerdeki estetik sorunları gidermek ve doğal diş yapısını en iyi şekilde taklit etmek amacıyla geliştirilmiştir. Bu kaplamalar genellikle dişlerin ön yüzeylerine uygulanır ve estetik kaygıları olan hastalara mükemmel bir çözüm sunar. E-Max kaplamalar, lityum disilikat porselen adı verilen özel bir seramik türünden üretilir. Bu materyal, dişlere doğal ışığı geçirme özelliği sayesinde doğal diş görünümünü mükemmel bir şekilde taklit eder. Ayrıca, E-Max kaplamaların renk seçenekleri geniş olduğundan, diş hekimleri hastanın diş rengini ve estetik tercihlerini en iyi şekilde karşılayacak şekilde kişiselleştirilebilir. E-Max kaplamalar, dayanıklılıkları ve uzun ömürlülükleri ile bilinir, bu da hastalara uzun vadeli bir estetik çözüm sunar. Bu nedenle, diş estetiği uygulamalarında tercih edilen bir seçenek haline gelmiştir.
E-Max Kaplama Ne Zaman Uygulanır?
E-Max kaplama, genellikle estetik diş hekimliği ihtiyaçlarını karşılamak için kullanılır ve çeşitli durumlarda uygulanabilir. Bu kaplama türü, dişlerdeki estetik sorunları düzeltmek, çeşitli renk veya şekil bozukluklarını gidermek, aşınmış dişleri restore etmek veya diş aralıklarını kapatmak için tercih edilir. Dişlerinde renklenme, leke veya çatlaklar bulunan hastalar genellikle E-Max kaplamalara başvurarak doğal ve estetik bir gülüş elde etmeyi amaçlarlar. E-Max kaplama, dişlerin ön yüzeyine yerleştirilen ince, özel tasarlanmış porselen kaplamalardan oluşur. Bu kaplamalar, doğal diş dokusunu mükemmel bir şekilde taklit eder ve hastaların gülüşlerini güzelleştirmek için kişiselleştirilmiş bir çözüm sunar. Renk seçeneklerinin geniş olması ve ışığı doğal dişler gibi geçirme özelliği, E-Max kaplamaların doğal bir estetik görünüm sağlamasını mümkün kılar. E-Max kaplama, diş estetiği iyileştirmelerinde olduğu gibi, dişlerin şekil ve boyutunun düzeltilmesi, diş aralıklarının kapatılması ve hatta diş renginin değiştirilmesi gibi çeşitli kozmetik düzeltmeler için uygundur. Diş hekimi tarafından hastanın ihtiyaçlarına ve diş yapısına bağlı olarak önerilen bu kaplamalar, modern estetik diş hekimliğinde güvenilir bir seçenek olarak öne çıkar.
E-Max Kaplama Neden Tercih Edilir?
E-Max kaplama, özellikle ön dişlerde tercih edilen bir kozmetik diş kaplama çözümüdür ve bu popülerliğini bir dizi avantajdan almaktadır. Bu kaplama türü, estetik diş hekimliği uygulamalarında lider bir konumda bulunur. Tam seramik özellikli olması, ışığı doğal şekilde yansıtarak kendi dişlerinizle mükemmel bir uyum sağlar. Bu özellik, E-Max kaplamaların farklı ışık koşullarında dahi doğal bir diş görünümü sunmasını sağlar. Ayrıca, metal alt yapısı olmaması sayesinde diş etleriyle etkileşime girmez ve doğal estetiği korur, bu da özellikle tercih edilir kılar. E-Max kaplama, cam seramik malzemeden üretilir ve lityum disilikat içerir. Bu malzeme, çiğneme kuvvetlerine karşı dayanıklılığı ile bilinir. Metal içermeyen yapısı, diş etleriyle uyumlu olduğu için estetik açıdan avantaj sağlar. Ayrıca, CAD/CAM frez sistemi kullanılarak üretilir, bu da yüksek kaliteli monolitik bloklardan elde edilen homojen bir yapı sunar. İnce ve dayanıklı olması, daha az diş kesimi gerektirmesi ve kolay uygulanabilirliği, E-Max kaplamalarını diş estetiği alanında tercih edilen bir seçenek haline getirir.
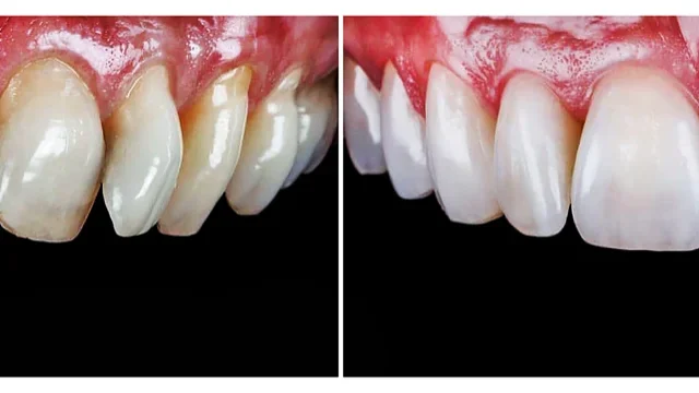
Zirkonyum ve Emax Protezler Metal Destekli Protezlere Göre Neden Daha İyi Görünür?
Zirkonyum ve E-Max protezler, metal destekli protezlere göre daha iyi bir estetik görünüm sunar. Geleneksel porselen kuron veya köprü protezlerin alt yapısında kullanılan gri metal alaşımlar, özellikle ön dişlere uygulandığında diş eti bölgesinde istenmeyen gri bir yansımaya neden olabilir. Metal destekli protezlerde, zaman içinde metal alaşımlarının seramik kaplama çerçevesinde çözünerek diş eti bölgesinde birikmesi, diş etlerinin gri görünmesine yol açar. Ayrıca, metal alt yapısı nedeniyle porselenin ışık geçirgenliği azalır, bu da donuk ve mat bir görünüme sebep olur. Bu estetik endişeler, Zirkonyum ve E-Max kuron/köprü protezlerinin tercih edilmesine yol açmıştır. Bu protezler tamamen porselenden üretildiği için iskeletsiz veya beyaz tabanlı olarak yapılabilir. Ayrıca, porselen kaplamaların şeffaflığı, doğal diş minesine oldukça yakın olduğundan daha doğal ve estetik bir görünüm elde edilmesini sağlar. Metal içermeyen yapısı, diş etleriyle uyumlu olduğu için diş etlerinin gri görünümünü engeller ve diş estetiğini ön planda tutar. Bu nedenle, Zirkonyum ve E-Max protezler, metal destekli alternatiflere göre daha iyi görünüm ve estetik sonuçlar sağlar.
E-Max Kaplama Fiyatı
E-Max kaplama fiyatları, bir dizi faktöre bağlı olarak değişkenlik gösterir ve genellikle kişiselleştirilmiş bir tedavi planı oluşturulduktan sonra belirlenir. Bu faktörler arasında takılacak diş sayısı, bireysel ihtiyaçlar, seçilen malzemelerin kalitesi, ek diş tedavisi gerekip gerekmediği ve uygulanan tedavi planı bulunmaktadır. E-Max diş fiyatları hakkında kesin bilgiler, ilk muayene ve değerlendirme sonrasında verilebilir. E-Max kaplamalar, özellikle diş estetiğini ön planda tutan bir teknoloji kullanarak daha kısa sürede doğal görünümlü dişlere kavuşmayı mümkün kılar. Bu kaplama sayesinde, kırık veya eksik dişlerin estetik bir şekilde restore edilmesi artık daha kolay ve hızlı bir süreç haline gelir. E-Max kaplama fiyatları, hastanın bireysel durumuna göre belirlendiği için, tedavi planı ve fiyatlandırma konularında uzman bir diş hekimi ile detaylı bir görüşme yapmak önemlidir.
E-Max Kaplama Yararları Nelerdir?
E-Max kaplamaların birçok avantajı bulunmaktadır, bu avantajlar arasında estetik bir görünüme sahip olma öne çıkmaktadır. Metal içermemesi, alerjik reaksiyonlara neden olma riskini ortadan kaldırır ve diş etleri veya diş kenarlarında mor renk değişikliklerine yol açmaz. Ayrıca, E-Max kaplamaların diş yapısına zarar vermemesi, içerdikleri maddelerin dişlerle uyumlu olmasıyla ilgilidir. E-Max kaplamaların şeffaf olması, mat bir izlenim bırakmaz ve birçok renk seçeneği sunar, bu da hastanın doğal diş rengine uygun bir estetik sonuç elde etmesini sağlar. Kaplamanın pürüzsüz ve kaygan yapısı, diş hassasiyetini en aza indirir ve tartar oluşumunu neredeyse tamamen ortadan kaldırır. Bu özellik, periodontal (diş eti) hastalığın gelişimini önleyerek oral sağlığı artırabilir. Bu nedenlerle, E-Max kaplamalar estetik ve fonksiyonel avantajları bir araya getirerek hastalara etkili bir diş tedavisi seçeneği sunmaktadır.
E-Max Kaplama Neden Her Dişe Uygulanamaz?
E-Max kaplamalar, diş tedavilerinde tercih edilen bir seçenek olmasına rağmen, her dişe uygulanamayabilir. Özellikle dişlerini uzun süre kaybetmiş olan hastalarda, E-Max kaplamaların kullanımı daha az tercih edilebilir. Bu tercih, E-Max kaplamaların uzun çürük oluşumuna uygun olmamasından kaynaklanmaktadır. Arka çiğneme dişleri gibi dayanıklılık ve sağlamlık açısından yüksek stres altında olan dişlerde, metal içerikli kaplamalar daha sık tercih edilebilir. E-Max kaplamalar genellikle ön kesici diş yapıları için daha uygundur. Bu kaplamalar, özellikle görsel estetik amaçlı olarak kullanıldığında, ön ve görünen dişlere uygulanır. Estetik kaygılar öne çıktığında ve hastanın gülüşünü iyileştirmek amacıyla diş restorasyonu yapılması gerektiğinde E-Max kaplamalar tercih edilir. Ancak, tedavi planlamasında hastanın genel diş durumu, ihtiyaçları ve uzun vadeli sağlığı göz önüne alınmalıdır. Uzun süre kaybedilen dişlerde, dayanıklılık ve fonksiyonellik açısından metal içerikli kaplamalar daha uygun olabilir.
E-Max Kaplama Kullanım Süresi Nedir?
E-Max kaplama, düzenli temizlik ve ağız bakımı ile uzun yıllar boyunca etkili bir şekilde kullanılabilir. Diş sağlığınızı sürdürmek ve kaplamanın ömrünü uzatmak için düzenli olarak diş fırçalama, diş ipi kullanma ve düzenli diş kontrolü gibi ağız hijyenine önem vermek önemlidir. Bu bakım adımları, kaplamanın dayanıklılığını ve estetik görünümünü korumaya yardımcı olacaktır. Diş hekiminizle düzenli kontrolleri sürdürmek de önemlidir. Yılda iki kez yapılan diş kontrolleri, dişlerin ve kaplamanın durumunu izlemenin yanı sıra erken müdahale imkanı sağlar. Erken tespit edilen herhangi bir sorun, tedavi edilebilir ve kaplamanın kullanım süresini uzatabilir. Bu nedenle, düzenli diş kontrol randevularına katılmak, olası sorunların önceden belirlenmesine ve tedavi edilmesine olanak tanır. E-Max kaplama, doğru bakım ve düzenli kontrollerle uzun ömürlü bir çözüm sunabilir. Ancak, kişisel bakım alışkanlıkları ve diş sağlığı durumu bireyden bireye değişebilir, bu nedenle her hasta için kullanım süresi farklılık gösterebilir.
E-Max Kaplama Dezavantajları Nelerdir?
E-Max kaplamanın, metal malzeme kullanılmaması nedeniyle arka çiğneme dişleri için uygun olmaması bir dezavantaj olarak öne çıkar. Bu tür kaplamalar genellikle ön dişlerde tercih edilir, çünkü estetik kaygılar önceliklidir ve arka çiğneme dişleri gibi yüksek stres altında olan bölgelerde metal içeren kaplamalar daha dayanıklı olabilir. Ayrıca, E-Max kaplamalar metal içeren alternatiflere göre biraz daha pahalı olabilir. Ancak, bu maliyet genellikle estetik kaygıları ön planda tutan hastalar için önemli bir faktördür. Görsel açıdan daha estetik bir çözüm sağlamak, maliyet farkını kabul edilebilir kılar. Bu nedenle, E-Max kaplamalar genellikle estetik beklentilere odaklanan ve ön dişlerde uygulama arzulayan hastalar için ideal bir seçenek olabilir. Herhangi bir diş tedavisi seçiminde olduğu gibi, E-Max kaplamaların avantajları ve dezavantajları dikkate alınmalı ve kişisel ihtiyaçlar ile maliyet faktörü göz önünde bulundurularak bir karar verilmelidir.
E-Max Kaplama Yaptıranlar Ne Diyor?
E-Max kaplama, estetik diş hekimliği alanında popüler bir seçenek olup, bu kaplamayı tercih eden kişiler çeşitli deneyimlerini paylaşıyor.
İşte E-Max kaplama yaptıran bazı kişilerin genel düşünceleri:
- Estetik Memnuniyet: E-Max kaplama yaptıran birçok kişi, estetik açıdan memnun olduklarını belirtiyor. Kaplamanın doğal diş görünümüne sahip olması ve renk seçeneklerinin geniş olması, estetik beklentilere uygun sonuçlar elde edilmesini sağlıyor.
- Konfor ve Doğallık: E-Max kaplamaların metal içermemesi, kullanıcıların diş etleriyle uyumlu bir deneyim yaşamasına katkı sağlıyor. Kaplamanın konforlu ve doğal bir hissiyat sağladığı sıkça vurgulanıyor.
- Dayanıklılık: Bazı kişiler, E-Max kaplamaların dayanıklılığından ve uzun ömürlülüğünden memnun olduklarını ifade ediyor. Doğru bakım ve düzenli kontrollerle, kaplamaların uzun yıllar boyunca etkili bir şekilde kullanılabileceği belirtiliyor.
- Maliyet ve Değer: E-Max kaplamaların metal içeren alternatiflere göre biraz daha maliyetli olabileceği dile getiriliyor. Ancak, kaplamanın estetik katkıları ve görsel değeri, maliyetin kabul edilebilir olduğunu düşünen birçok kişiyi etkiliyor.
- Kişisel Deneyimler: E-Max kaplama yaptıranlar, genellikle kişisel deneyimlerini paylaşarak diğer insanlara bu konuda rehberlik ediyorlar. Deneyimlerini sosyal medya platformları veya diğer çevrimiçi forumlarda paylaşarak, potansiyel kullanıcılara faydalı bilgiler sunuyorlar.
Unutulmamalıdır ki, her bireyin deneyimi farklı olabilir ve bireyin ağız yapısı, estetik beklentileri ve kişisel tercihleri, sonuçları etkileyen faktörler arasında yer alır. E-Max kaplama yaptırmayı düşünenler, bir diş hekimi ile kapsamlı bir danışma yaparak kişisel ihtiyaçlarına en uygun seçeneği belirleyebilirler.
E-Max Kaplama ve Daha Fazlası Hakkında Detaylı Bilgi Almak İçin Şimdi Bizimle İletişime Geçin
Gülümsemenizi yeniden kazanmak, diş estetiğinizi iyileştirmek veya diş sorunlarınızı çözmek için E-Max kaplama ve benzeri diş tedavileri hakkında detaylı bilgi almak ister misiniz? Rehberimizde sadece E-Max kaplama değil, aynı zamanda diğer diş tedavileri hakkında da detaylı bilgiler bulabilirsiniz. Porselen lamina veneer, implant uygulamaları, diş beyazlatma işlemleri ve daha birçok konuda uzman görüşlerine ulaşabilirsiniz. Deneyimli ve uzman diş hekimlerimiz, gelişmiş teknolojiye sahip kliniğimiz ve hasta odaklı hizmet anlayışımızla size en iyi diş tedavisi deneyimini sunmaya hazırız. Sizin için en uygun tedavi seçeneklerini belirlemek ve sorularınıza yanıt vermek adına bizimle iletişime geçmekten çekinmeyin. Gülümsemenizi önemsiyor ve sağlıklı dişlere sahip olmanızı destekliyoruz. Detaylı bilgi almak, randevu talep etmek veya sorularınızı sormak için bize şimdi ulaşın. Sağlıklı ve güzel bir gülüş için yanınızdayız!
https://www.youtube.com/watch?v=qL0uX5kM89w
